港口:香港
运输方式:ups DHL 联邦
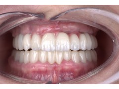
全口义齿出口 ,局部义齿加工厂,义齿OEM出口 ,假牙ODM定制厂家 ,种植牙代加工出口 ,牙科义齿出口供应商
深圳MYY义齿科技技术有限公司
全球覆盖:为30万海外患者提供定制义齿,重点出口氧化锆全瓷牙、钛支架及种植体。
质控标准:原材料均通过CE/FDA认证,支持客户指定材料定制,确保低价格与高质量并行。
深圳市MYY义齿科技技术有限公司(MYY Dental Lab)是一家专业制作国外义齿的企业;公司成立以来,全球已经有超过30万患者使用我公司定制义齿,并且这个数据每天都在增加。
我们的客户来自德国, 美国 ,英国, 法国, 西班牙, 荷兰 ,日本 ,新加坡, 葡萄牙 ,波兰 ,瑞典,挪威,爱尔兰,丹麦,芬兰,澳大利亚,奥地利,比利时,瑞士,马来西亚,哥伦比亚,等十几个国家和地区。
我们技师90%来自医学院专科技工学校,有8-15年以上的工作经验,口腔院校每年为公司定点、定向培养专业人才。来自海外的合作伙伴和技师每个月都来参观并交流经验指导技术。
为了提高每一个义齿的精密和准确度,我们使用高精度设备,以先进的自动化、半自动化、计算机辅助等设备代替手工。
为保证产品的可靠性,我们所使用的原材料都是国际知名品牌,有CE和FDA认证的,每个修复体都有原材料批号和认证号,例如我们常规采用的瓷粉、金属、全瓷等。如果有需要,我们还可以使用您指定的原材料。
低价格并不意味着要牺牲质量,我们以低廉的价格为您提供高质量的修复服务。
主要产品有氧化锆电脑全瓷牙、铸瓷全瓷牙、氧化铝全瓷牙、贵金属烤瓷牙、纳米瓷牙、钴铬合金烤瓷牙、钛合金烤瓷牙、普通金属烤瓷牙、钛支架、钢托、胶托、精密附着体、套筒冠、种植体、隐形义齿、保持器等。
我们郑重承诺:绝不以牺牲牙医的名誉和患者的健康为代价而谋取利益!
请选择您的标准,用固定烤瓷类或活动支架类修复体来测试我们的能力。
电话:+ 86 18098919514
电子邮件:xml5201@outlook.com
网址:http://www.meiyy-dental.com/
地址:深圳市宝安区和秀西路 锐明工业园区 C6 二楼


